Understanding points
A3.1.1 Variation between organisms as a defining feature of life
A3.1.2 Species as groups of organisms with shared traits
A3.1.3 Binomial system for naming organisms
A3.1.4 Biological species concept
A3.1.5 Difficulties distinguishing between populations and species due to divergence of non-interbreeding populations during speciation
A3.1.6 Diversity in chromosome numbers of plant and animal species
A3.1.7 Karyotyping and karyograms
A3.1.8 Unity and diversity of genomes within species
A3.1.9 Diversity of eukaryote genomes
A3.1.10 Comparison of genome sizes
A3.1.11 Current and potential future uses of whole genome sequencing
A3.1.12 Difficulties applying the biological species concept to asexually reproducing species and to bacteria that have horizontal gene transfer (HL only)
A3.1.13 Chromosome number as a shared trait within a species (HL only)
A3.1.14 Engagement with local plant or animal species to develop a dichotomous key (HL only)
A3.1.15 Identification of species from environmental DNA in a habitat using barcodes (HL only) |
Species
A group of organisms that can interbreed to produce fertile offspring
•
Binomial naming system: Genus species (e.g. Homo sapiens)
•
*(AHL) Must have the same chromosome number or else problems in meiosis occur
•
Different species have different genome sizes and base sequences
Population
A group of organisms of the same species, living in the same area, at the same time
•
Two populations living in different areas are unlikely to interbreed
•
Genetic differences gradually accumulate over time
•
Eventually, two populations may diverge into two separate species → speciation
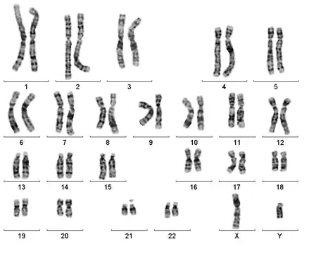
Karyotype
The number and type of chromosomes present in a cell or organism
•
Karyogram: photograph of chromosomes shown in homologous pairs of decreasing length
•
Cells in metaphase are used to prepare karyograms
Whole genome sequencing
Used the entire base sequence of an organism’s DNA
1.
Revealing the evolutionary relationships between species
2.
Personalized medicine
*(AHL)
Deviations from the biological concept of species
Asexual reproduction
Produce genetically identical clones as offspring
Little change accumulates over time
Horizontal gene transfer
Frequent among bacteria
Genes are transferred between distantly related populations
e.g. transfer of antibiotic resistance gene
Identification of species
1.
DNA barcoding: obtaining environmental DNA from abiotic samples and looking for DNA barcodes
•
DNA barcode: short sections of DNA in a gene that are distinctive enough to identify a species
2.
Dichotomous keys
1 | Fore and hind limbs visible, can emerge on land ……….. 2
Only fore limbs visible, cannot live on land ………………… 6 |
2 | Fore and hind limbs have paws …………………………..…….. 3
Fore and hind limbs have flippers ……………………………… 4 |
3 | Fur is dark ……………………………………………………. sea otters
Fur is white ………………………………………………... polar bears |
4 | External ear flap visible …………….. sea lions and fur seals
No external ear flap …………………………..……………………… 5 |
5 | Two long tusks ……………………………………………... walruses
No tusks ……………………………………………………… true seals |
6 | Mouth breathing, no blowhole … dugongs and manatees
Breathing through blowholes ……………………………………. 7 |
7 | Two blowholes, no teeth ………………………. baleen whales
One blowhole, teeth ….. dolphins, porpoises and whales |
Source: Oxford, 2014








